Prevalence, Histopathology, and Predictors of Malignancy in Breast Lesions from Yemen: A Retrospective Cross-Sectional Analysis (2011–2024)
DOI:
https://doi.org/10.31557/apjcc.2026.11.2.225-233Keywords:
Breast Neoplasms, Fibroadenoma, Carcinoma, Ductal, Breast, Prevalence, Risk Factors, Cross-Sectional Studies, YemenAbstract
Introduction: Breast cancer represents an escalating public health challenge in Yemen, a country experiencing a prolonged humanitarian crisis. The prevalence of advanced-stage diagnoses, poor clinical outcomes, and a lack of detailed, population-specific data impede the development of effective early detection strategies. This study aims to characterize the prevalence and predictors of breast lesions in the Yemeni population, providing evidence to guide risk-adapted screening approaches.
Materials and Methods: A retrospective cross-sectional analysis was conducted on 2,288 histopathologically confirmed cases of breast lesions between January 2011 and March 2024, sourced from a major diagnostic laboratory network in the Ibb and Taiz governorates. Multivariate logistic regression was used to identify independent predictors of malignancy, reported as adjusted odds ratios (AORs) with 95% confidence intervals (CIs). Comparative analyses were performed using chi-square and McNemar’s tests.
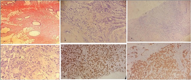
Results: Our results indicated that benign lesions predominated, accounting for 66.6% of cases (95% CI: 64.7–68.5), with fibroadenoma being the most common subtype (32.2%). Malignant lesions comprised 33.4% of cases, with invasive ductal carcinoma (IDC) as the predominant malignancy (63.5%). Significant predictors of malignancy included age over 60 years (adjusted odds ratio [AOR] = 3.2; 95% CI: 2.1–4.9), female gender (AOR = 5.0; 95% CI: 3.3–7.6), and lesion size greater than 5 cm (AOR = 3.2; 95% CI: 2.1–4.9). A concerning trend of cancer presenting at younger ages was observed. Age-stratified analysis revealed substantial variation: 72.8% malignancy in patients over 60 years compared to 7.9% in those under 30 years. A recent regional awareness campaign (2021–2022) showed no significant immediate effect on detection rates (p = 0.23).
Conclusion: Benign breast lesions are significantly more prevalent in this Yemeni cohort. These findings underscore the necessity of risk-adapted screening targeting females aged 30–60 and patients presenting with larger lesions. The younger age at onset and high rates of consanguinity suggest a probable genetic component, highlighting the urgent need for genetic counseling and sustained, culturally informed public health interventions in Yemen’s resource-limited context.


3.jpg)





